院長からのごあいさつ

周りの方々を和やかにする、そんなあなたの笑顔をより素敵にできるよう、福岡市博多区麦野に歯科医院を開設しております。
あなたにとっての「最後のかかりつけの歯科医院」となれるよう、お口に関するトータルケアをさせて頂きます。
住吉歯科医院 院長 住吉 圭太
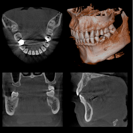
CTを導入いたしました
当院ではまだまだ個人の歯科医院での普及率が低い、CT(コンピュータ断層撮影機)を導入いたしました。
通常のX線撮影では、歯やアゴの骨の状態を二次元でしか確認できないため、色々な病状(歯の根の病気や歯周病の病状)を見落としてしまう可能性は否定でき ません。CTを撮影することによって、あらゆる方向から三次元で歯やアゴ骨の状態を確認可能なため、詳細な診断が可能になります。
撮影時間も9.4秒と極めて短く、放射線の被曝量は、医科用CT撮影(頭部)の1/77~1/23以下です。
限られた病変(歯の神経の治療、歯周病の治療、親知らずの抜歯など)においては保険適用での撮影が可能です。
また、インプラントの手術をする際には、アゴの骨の状態を診査するにはCT撮影が必要であり、その後の定期診査にも非常に有効です。
医科用CT撮影に比べると少ないながらも、被爆のデメリットもありますので、必要に応じて使用し、診査・診断に大いに役立てていきたいと思います。
「差し歯・入れ歯」専門医による診療を受けてみませんか?
2021年12月現在、 日本補綴歯科学会 専門医は、福岡市博多区で7名です。
九州大学歯学部を卒業後、九州大学歯学部歯科補綴学第二講座(現在の口腔機能修復学講座 咀嚼機能再建学分野)に大学院生として入局し、咀嚼運動(食物を食べる時の運動)時のアゴの三次元動態について研究し、歯学博士の学位を取得しました。
大学院卒業後の九州大学病院在職時には、差し歯・入れ歯の治療を行う補綴科(現:咬合補綴科・義歯補綴科)に在籍後、新設された口腔総合診療科に異動し、大学を卒業したての研修歯科医師に総合的歯科治療を指導をしていました。
差し歯・入れ歯の診療をどこで受けようか迷っている貴方、専門医による診療を受けてみませんか?
専門の差し歯・入れ歯・審美治療・インプラントはもちろん、予防からメンテナンスまで、大学病院在籍時の経験を生かし、総合的な観点から貴方の歯科診療をさせて頂きます。
診療日のご案内
|
|
■終日休診
■13:30まで診療
■16時まで診療
■午前休診
|
||||||||||||||||||||||||||||||||||||||||||||||||||||||||||||||||||||||||||||||||||||||||||||||||||||||||||||||||
12/26(日)-1/3(月)は、年末年始で休診いたします
診療時間
| 診療時間 | 月 | 火 | 水 | 木 | 金 | 土 | |
|---|---|---|---|---|---|---|---|
| 午前 | 9:30-13:30 | ○ | ○ | ○ | ○ | ○ | ○ |
| 午後 | 15:00-18:30 | ○ | ○ | ○ | ※ | ○ | - |
※ 木曜午後は休診ですが、週内で祝祭日がある場合は終日診療いたします
最新情報
- 2021.11.01
- Homeの「診療日のご案内」を修正し、カレンダーを11・12月用に修正しました。
- 2021.10.01
- Homeの「診療日のご案内」を修正し、カレンダーを10・11月用に修正しました。
- 2021.09.01
- Homeの「診療日のご案内」を修正し、カレンダーを9・10月用に修正しました。
- 2021.08.01
- Homeの「診療日のご案内」を修正し、カレンダーを8・9月用に修正しました。
- 2021.07.01
- Homeの「診療日のご案内」を修正し、カレンダーを7・8月用に修正しました。











